Курсовая работа: Болезни мелких животных
Курсовая работа: Болезни мелких животных
АКТ
судебно-ветеринарного
вскрытия трупа поросенка
5 марта 2009
года , 12.00
г. Витебск
Мною, студенткой 7
группы 4 курса факультета ветеринарной медицины Денисенко М.А., под
руководством заведующего кафедры патологической анатомии и гистологии
профессора Прудникова В.С., на основании письменного предписания прокурора
Сенненского района Лебедева И.В. за № 32 от 5 марта 2009 года, в присутствии
профессора Прудникова В.С., прокурора Сенненского района Лебедева И.В. и
студентов 7 группы произведено в прозектории кафедры патанатомии УО «Витебская
ордена «Знак Почета» государственная академия ветеринарной медицины вскрытие
поросенка, хрячка, в возрасте 2 дней, белой масти, белорусской белой породы,
принадлежащего свинокомплексу РУСП имени П.М. Машерова Сенненского района,
Витебской области.
Согласно письменному
предписанию прокурора Сенненского района Лебедева И.В. за № 32 от 5 марта 2009
года требуется выяснить следующее:
1.
От
чего пало животное?
2.
Можно
ли было спасти животное, если да, то как?
3.
Как
профилактировать данное заболевание?
Анамнестические и
клинические данные
Свинокомплекс на 24000
голов РУСП имени П.М. Машерова. Сенненского района Витебской области.
На свинокомплексе
периодически наблюдается, заболевание и падеж поросят в возрасте 0-2, 0-4
месяца с клиническими признаками: гастроэнтерит, воспаление легких. Поросята
часто рождаются слаборазвитыми (массой 600-700 г.) иногда наблюдаются случаи
абортов и мертворожденности.
Кормление супоросных и
подсосных свиноматок – комбикорм для откорма свиней согласно зоотехническим
нормам. Водопой не ограничен.
На свинокомплексе часто
наблюдаются нарушение зоотехнических условий содержания свиноматок и поросят -
повышенное содержание аммиака в помещениях, повышенная влажность.
При
патологоанатомическом вскрытии трупов поросят иногда наблюдались – гипотрофия,
острый катаральный или катарально-геморагический гастроэнтерит, катаральная
иногда крупозная пневмония, серозно-фибринозный плеврит, перикардит, истощение
и общая анемия.
При бактериологическом
исследовании в райветлаборатории иногда выделяются возбудители колибактериоза,
сальмонеллеза, пастереллеза и гемофилезной плевропневмонии.
Противоэпизоотические
мероприятия проводятся регулярно и в соответствующие сроки согласно плану.
Наружный осмотр
1.Общий вид
трупа. Телосложение пропорциональное, упитанность ниже
средней, масса около 1 килограмма (поросенок-гипотрофик), живот незначительно
вздут.
2.Естественные
отверстия. Рот закрыт, по окружности без
загрязнений и экскретов, прикус зубов правильный, слизистые оболочки влажные,
блестящие, бледно – серого цвета, язык находится в ротовой полости.
Носовые
отверстия чистые, слизистая оболочка влажная, без
посторонних наложений и припуханий, тёмно-красного цвета, набухшая, целостная,
покрыта слизью. (катаральный ринит)
Глаза.
Глазные щели закрыты, окружности их чистые, кожа век чистая, глазные яблоки
запавшие, роговица полупрозрачная, конъюнктива влажная, серого цвета с синюшным
оттенком, без припуханий и наложений.
Уши.
Ушные раковины нормальные, наружный слуховой проход чистый.
Анус
приоткрыт, испачкан жидкими фекалиями желтоватого цвета. Слизистая оболочка
синюшно-красного цвета, суховатая, без наложений. Слизистая половых органов
влажная, блестящая, серого цвета с синюшным оттенком.
3.Наружные
покровы. Щетина взъерошенная, матовая, в коже
удерживается хорошо, участки облысения отсутствуют.
Кожа
слабо эластичная, без повреждений и патологических изменений. Цвет
бледно-розовый. Отеков не обнаружено. В подкожной клетчатке жир отсутствует,
подкожная клетчатка суховатая.
Копытца
без повреждений, наложений, твердые, прикреплены прочно.
4. Скелетные
мышцы – недоразвиты, консистенция мышц упругая, цвет тёмно – красный,
рисунок волокнистого строения выражен, мышцы суховатые.
5. Кости,
суставы, сухожилия. Кости твёрдые, нормальной конфигурации, белого
цвета, форма лицевой части черепа не деформирована.
Суставы подвижны,
форма не изменена, в их полости содержится небольшое количество желтоватой
синовиальной жидкости, суставные поверхности костей гладкие, влажные, белого
цвета с синим оттенком. Синовиальные оболочки влажные, гладкие, серого цвета.
Сухожилия плотные, серо-белого цвета.
6. Трупные
изменения. Труп холодный. Трупное окоченение скелетных мышцах хорошо
выражено. Трупное разложение и другие трупные изменения отсутствуют. Посмертные
сгустки крови: свернувшаяся кровь в левом и правом желудочке сердца
(резиноподобной консистенции, хорошо оделяется от стенок желудочков). Причем
правый желудочек переполнен и незначительно увеличен кровью (асфиктической
сердце).
Внутренний осмотр
7. Брюшная
полость. Положение органов анатомически правильное, постороннего
содержимого не обнаружено. Париетальная и висцеральная брюшина влажная,
гладкая, блестящая, прозрачная, серо-розового цвета, без наложений и спаек.
8. Сальник и
брыжейка жира не содержат, кровеносные сосуды малокровны.
9.
Диафрагма – купол диафрагмы расположен на уровне 7 межреберья,
серозные оболочки (брюшина и плевра) влажные, блестящие, серого цвета. мышечная
часть хорошо развита, серовато-красного цвета, с хорошо выраженным волокнистым
строением.
10. Грудная
полость. Положение анатомически правильное, в полости обнаружено 2-3 мл
жидкости розового цвета, водянистой консистенции, с примесью крови. Костальная
и легочная плевра влажная, блестящая, прозрачная, серого цвета с синюшным
оттенком.
Иммунная
система.
11. Костный мозг
грудной и эпифизов трубчатых костей серого - красного цвета, студневидной
консистенции.
12.
Тимус нормальных размеров, бобовидной формы, хорошо выражена
дольчатость, Консистенция долек упругая, темно-коричневого по периферии и
светло-коричневого цвета в центре.
13. Лимфатические
узлы: подчелюстные, заглоточные, предлопаточные (поверхностные шейные),
поверхностные паховые, средостенные, бронхиальные не увеличены в размере,
округлой формы, упругой консистенции, серо-желтого цвета, рисунок
фолликулярного строения на разрезе сохранен. Брыжеечные лимфоузлы увеличены в
размере, круглой формы, упругой консистенции, серого цвета на наружной
поверхности, на разрезе серо-красного цвета, сочные, рисунок фолликулярных
узелков сглажен, поверхность разреза влажная (серозное воспаление брыжеечных
лимфоузлов).
14. Селезёнка
не увеличена в объеме, форма не изменена, капсула не напряжена, края острые,
орган упругой консистенции, темно – вишневого цвета, рисунок фолликулярного и
трабекулярного строения сохранен, соскоб пульпы незначительный.
15. Глоточные
миндалины без видимых патоморфологических изменений(не увеличены в
размере, форма не изменена, розового цвета.
Сердечно-сосудистая
система.
16. Перикард.
В его полости содержится небольшое количество прозрачной белой жидкости. Перикард
влажный, гладкий, блестящий, полупрозрачный, серого цвета, легко снимается,
наложений нет.
Сердце
не увеличено в размере, конусовидной формы, стенка правой половины поражена.
Мышца правой половины сердца набухшая, дряблая, по цвету напоминает ошпаренное
мясо, рисунок волокнистого строения сглажен. Соотношение правой половины сердца
к левой 1:3 (зернистая дистрофия сердца), также отмечается переполнение кровью
правой половины сердца (асфиктическое сердце);
Клапаны
эластичные,
белого цвета, эндокард гладкий, блестящий, прозрачный, серого цвета. Под
эпикардом небольшое наложение жира желтого цвета, мягкой консистенции. Полости
сердца заполнены свернувшейся кровью: темно-красного цвета, эластичной консистенции,
поверхность сгустков гладкая, влажная, блестящая, имеют форму полости сердца,
легко извлекаются.
17. В крупных
кровеносных сосудах (аорта, яремные вены) содержится несвернувшаяся
темно-красная кровь, стенки сосудов эластичные, интима гладкая, блестящая, светло-желтого
цвета.
Дыхательная
система.
18. В носовой
полости находятся незначительные мутные слизистые истечения,
серо-желтого цвета. Слизистая оболочка набухшая, гиперемированная, с
наложениями. Носовые раковины и перегородка незначительно деформированы
(катаральный ринит).
19. Гортань,
трахея и бронхи без постороннего содержимого, слизистая оболочка
влажная, блестящая серого цвета. Просвет дыхательных путей нормальный без
постороннего содержимого. Хрящи гортани и хрящевые кольца трахеи эластичны.
20.
Легкие не спавшиеся, сине-красного цвета, дольчатость слабо
выражена, тестоватой консистенции. С поверхности разреза стекает пенистая
красноватая жидкость. Кусочки пораженных долей легких в воде плавают,
погрузившись в воду (острая венозная гиперемия и отек легких).
Пищеварительная
система
21. В ротовой
полости, глотке и пищеводе постороннего содержимого нет. Слизистые
оболочки влажные, бледно-серого цвета. Язык упругий, мышца красного цвета,
рисунок волокнистого строения выражен, слизистая оболочка ротовой полости
бледно-серого цвета.
22. В желудке
содержатся сгустки молозива. Слизистая оболочка набухшая, тусклая, в донной
части желудка интенсивно покрасневшая, на поверхности слизь серого цвета. Язв и
эрозий не обнаружено ( подострый катаральный гастрит).
23. В
тонком кишечнике (двенадцатиперстная, тощая и подвздошная кишки)
кормовых масс нет. Слизистая оболочка тонкого кишечника набухшая, покрасневшая,
матовая, без блеска, обильно покрыта слизью серого цвета. Подслизистая и
мышечная оболочки в воспаспалительный процесс не вовлекаются. В толстом
кишечнике (слепая, ободочная и прямая кишки). Слизистая оболочка кишок
гиперемирована, матовая, без блеска, обильно покрыта тягучей слизью серого
цвета. (острый катаральный гастроэнтерит)
24. Печень увеличена
в размере, края притуплены, капсула напряжена, форма не изменена, консистенция
уплотнена, цвет красно-коричневый, рисунок дольчатого строения не четкий,
поверхность разреза влажная, с поверхности разреза стекает незначительное
количество крови (зернистая дистрофия с выраженной застойной гиперемией).
Желчный пузырь
незначительно расширен, в нём содержится 3-5 мл желчи, слизистая оболочка
бархатистая, желто-зеленого цвета. Проходимость желчного протока сохранена
(переполнение желчью).
25. Поджелудочная
железа серого цвета, упругой консистенции с хорошо выраженным дольчатым
строением.
Мочеполовая
система
26. В околопочечной
клетчатке содержится незначительное количество жира серовато-желтоватого цвета.
Почки слегка увеличены в объеме, мягкой консистенции, красно-серого
цвета, капсула напряжена, легко снимается, на разрезе граница между корковой и
мозговой зонами слабо выражена (зернистая дистрофия со слабовыраженной
застойной гиперемией).
27. В мочевом
пузыре содержится около 6-8 мл мочи светло-жёлтого цвета, слизистая
оболочка гладкая, блестящая, бледно-серого цвета. Мочеиспускательный канал без
патоморфологических изменений.
28. Семенники,
придатки, половой член и препуций не исследовали.
Эндокринная система
29. Щитовидная
железа – не увеличена в размере, округлой формы, красного цвета,
упругой консистенции, рисунок строения на разрезе сохранен (без
патоморфологических изменений).
30. Надпочечники
не увеличены, правильной формы, упругой консистенции, красно-коричневого цвета,
на разрезе граница между корковым и мозговым веществом выражена.
Нервная система
31. Головной и
спинной мозг не исследовались.
Лабораторные
исследования
Для лабораторной диагностики, включающей изоляцию вируса на
первичных и перевиваемых линиях клеток поросят с последующей идентификацией
вируса в РНФ, РН, ВИЭОФ, ELISA
и определении титра антител в сыворотке крови реконвалесцентов, на кафедру патологической анатомии и
гистологии были отправлены отрезки тонкой и подвздошной кишок с содержимым,
перевязанные с двух сторон лигатурами, и мезентериальные лимфоузлы от павшего
поросенка.
В исследованном
материале с использованием специальных сывороток был выделен в большом
количестве антиген вируса трансмиссивного гастроэнтерита свиней.(смотри
приложение 3).
Вет. врач
/Денисенко М.А./
Присутсвовали /Прудников
В.С./
/Лебедев И.В./
Патологоанатомический
диагноз:
1. Острый катаральный гастроэнтерит.
2. Серозное воспаление брыжеечных
лимфоузлов.
3. Острая венозная гиперемия и отек
легких.
4. Зернистая дистрофия печени, почек и
сердца с признаками венозной гиперемии.
5. Зернистая дистрофия сердца с
признаками асфиксии.
6. Эксикоз.
7. Истощение, общая анемия.
Результаты лабораторных исследований
При гистологическом
исследовании патматериала в лаборатории кафедры патологической анатомии и
гистологии Витебской государственной академии ветеринарной медицины установили
патоморфологические изменения лимфоузлов: гиперемия кровеносных сосудов,
серозный отек синусов и паренхимы, увеличение в размерах фолликулов, скопление
в мозговых тяжах плазмоцитов.
При вирусологическом
исследовании был выделен возбудитель короновирус Transmissible
gastroenteritis
virus/
Заключение
1.
От чего пало животное?
На основании
анамнестических, клинических и эпизотологических данных, анализа результатов
вскрытия был поставлен диагноз - коронавирусный гастроэнтерит. Возбудителем
данной болезни является РНК содержащий вирус (Porcine
transmissille
gastroenteritis
virus),
рода Coronavirus семейства Coronaviridae. Предрасполагающими факторами явились:
нарушения санитарно-гигиенических норм условий содержания и кормления
супоросных свиноматок и поросят-сосунов, дача комбикорма для откорма свиней
супоросным свиноматкам, и как следствие внутриутробный кормотоксикоз, рождение
приплода с ослабленным иммунитетом, рождение поросят-гипотрофиков.
2.
Можно ли было спасти животное, если да, то как?
В случае оказания
своевременного лечения: используют гипериммунные сыворотки и
сыворотки реконвалесцентов, в которых имеются антитела к коронавирусу
одновременно с антибактериальными и иммуностимулирующими препаратами,
пробиотики. Применяют также симптоматические методы лечения
направленные на предотвращение обезвоживания организма и осложнения
бактериальной микрофлорой.
3.
Как профилактировать данное заболевание?
Общая профилактика
сводится к недопущению заноса в хозяйство вирусоносителей, строгому соблюдению
за санитарным состоянием свиноводческих помещений, выполнению принципа «все
пусто – все занято» при формировании групп, недопущению избыточного количества
животных в группе, систематическая дезинфекция и инвентаря.
Для специфической профилактики используют живые и
инактивированные моно- и ассоциированные вакцины, гипериммунные сыворотки.
Инактивированные
вакцины применяют свиноматкам внутримышечно, подсосным поросятам –
интраперитонеально.
Вет. врач /Денисенко М.А./
5 марта 2009
Список
используемой литературы
1.
Вскрытие
животных и дифференциальная диагностика болезней / М.С. Жаков, В.С. Прудников,
И.А. Анисим и др. – Мн.: Ураджай, 1998 – 188с.
2.
Инфекционные
болезни молодняка сельскохозяйственных животных / А.Н. Куриленко, В.Л
Крупальник – М.: Колос, 2001 – С. 38 – 51.
3.
Патологическая
анатомия сельскохозяйственных животных / А.В. Жаков, П.В. Шишков и др. – М.:
Колос, 1995.
4.
Профилактика
инфекционных болезней молодняка / М.А. Сидоров – М.: Колос, 1983 – С. 60 – 68.
5.
Справочник
по вскрытию трупов и патоморфологической диагностике болезней животных / В.С.
Прудников, Б.Л. Белкин и др. – Вит.: УО ВГАВМ, 2007.
ПРИЛОЖЕНИЕ № 1
Сопроводительное письмо
В ВИТЕБСКУЮ АКАДЕМИЮ
ВЕТЕРЕНАРНОЙ МЕДЕЦИНЫ.
Зав кафедрой
ПАТАЛОГИЧЕСКОЙ АНАТОМИИ
Профессору Прудникову
В. С.
Свинокомплекс на 24000
голов РУСП имени П.М. Машерова. Сенненского района Витебской области направляет
трупы поросят в возрасте 0-2 0-4 месяца для патологического вскрытия и
установления причин заболевания и падежа.
На свинокомплексе
периодически наблюдается, заболевание и падеж поросят в возрасте 0-2, 0-4
месяца с клиническими признаками: гастроэнтерит, воспаление легких .Поросята
часто рождаются слаборазвитыми (массой 600-700 г.) иногда наблюдаются случаи
абортов и мертворожденности.
Комплекс супоросных и
подсосных свиноматок – комбикорм для откорма свиней согласно зоотехническим
нормам. Водопой не ограничен
На свинокомплексе часто
наблюдаются нарушение зоотехнических условий содержания свиноматок и поросят -
повышенное содержание аммиака в помещениях, повышенная влажность.
При
патологоанатомическом вскрытии трупов поросят иногда наблюдались – гипотрофия,
острый катаральный или катарально-геморагический гастроэнтерит, катаральная
иногда крупозная пневмония, серозно-фибринозный плеврит, перикардит, истощение
и общая анемия.
При бактериологическом
исследовании в райветлаборатории иногда выделяются возбудители колибактериоза,
сальмонеллеза, пастереллеза и гемофилезной плевропневмонии.
Противоэпизоотические
мероприятия проводятся регулярно и в соответствующие сроки согласно плану
Главветврач Ф.К.
Денисюк
ПРИЛОЖЕНИЕ №2
Рисунок 1 Расположение органов брюшной полости свиньи
 

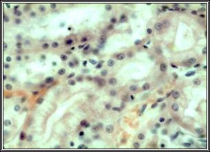
Рисунок 4 Зернистая
дистрофия почки (окраска гематоксилин-эозином)

Рисунок
5
Рисунок 6
ПРИЛОЖЕНИЕ 3
Сопроводительное письмо
В Витебскую государственную академию ветеринарной медицины.
На кафедру патологической анатомии и гистологии.
Адрес: 210602, г. Витебск, ул. Доватора, д. 7/11.
При этом направляется
для гистологического исследования патологический материал: брыжеечные лимфатические
узлы, а для вирусологического исследования: отрезки тонкой и подвздошной кишок
с содержимым перевязанные лигарутой с двух сторон. Патологический материал
доставили в стеклянном сосуде, помещенном в термос с сухим льдом. Патматериал
получен от трупа поросенка, в возрасте 2 дней, принадлежащего свинокомплексу
РУСП имени П.М. Машерова Сенненского района, Витебской области.
Поросенок заболел 2 марта 2009 года, пал 4 марта 2009 года.
Клинические симптомы: общее угнетение, рвота, диарея, феколии водянистой
консистенции, желтоватого цвета, неприятного запаха, истощение, полное
обезвоживание.
Патологоанатомические
изменения:
Острый
катаральный гастроэнтерит, серозное воспаление брыжеечных лимфоузлов, острая
венозная гиперемия и отек легких, зернистая дистрофия печени, почек и сердца с
признаками венозной гиперемии, зернистая дистрофия сердца с признаками
асфиксии, эксикоз, истощение, общая анемия.
Предположительный
диагноз – коронавирусный гастроэнтерит поросят.
Дата отправки патматериала – 5 марта 2009 года
Ветврач Денисенко М. А.
|